【特色技术】神经外科:八旬老人颅内动脉瘤破裂,神经外科紧急拆弹成功
近日,北京市垂杨柳医院神经外科成功为一名高龄患者实施了颅内动脉瘤栓塞手术,紧急拆除了颅内“不定时炸弹”,使患者转危为安。
赵女士今年已85岁高龄,患高血压病已30余年,冠心病10余年,曾置入5枚冠状动脉支架,平时可自理。7月8日晚间在家中洗澡时突发剧烈头痛,伴恶心呕吐,紧急来到北京市垂杨柳医院急诊内科就诊。经为患者行头颅CT检查提示蛛网膜下腔出血,急诊当即请神经外科会诊。神经外科值班医生刘耀东赶到急诊,查看患者呈嗜睡状态,颈项强直。紧急为患者安排了头颈动脉CTA检查,显示前交通动脉瘤。


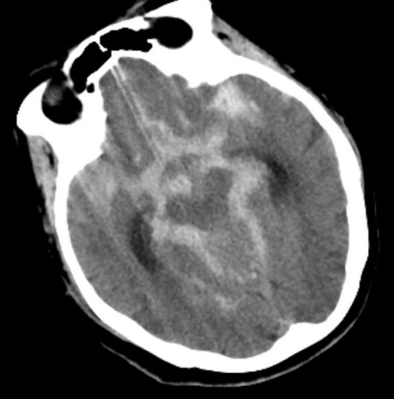
头颅CT显示广泛蛛网膜下腔出血,脑室积血
神经外科进行科内讨论认为,患者前交通动脉瘤破裂伴蛛网膜下腔出血诊断明确,有手术指征,但患者高龄,动脉瘤手术的难度及风险均很大,且患者颅内出血多,Hunt-Hess分级3级,易合并脑血管痉挛、脑梗死、脑积水、肺炎等并发症,致残率及死亡率很高。与患者家属充分沟通病情,家属经再三商议后,考虑到患者平素一般状况尚可,同意手术治疗。遂决定采取微创血管内介入治疗,拆除不定时炸弹,以防止动脉瘤再破裂出血。

神经外科脑血管病介入团队(刘磊,王绍珍,段练)手术中
7月9日,在导管室、麻醉科的全力配合下,由神经外科脑血管病介入团队在全麻下实施了前交通动脉瘤弹簧圈栓塞术。手术中,神经外科介入团队沉稳操作,克服了严重头颈动脉粥样硬化及迂曲的困难,一步步精准操作将中间导管送达指定位置,栓塞微导管小心进入动脉瘤,栓塞弹簧圈缓慢送入动脉瘤腔内。经过2个小时的手术,患者这颗颅内“不定时炸弹”被成功拆除。过程顺利,动脉瘤达到致密栓塞,载瘤动脉通畅。术后第一天为患者实施了腰大池置管,引流血性脑脊液。术后第二天患者神志转清,拔除气管插管,目前正在进一步治疗中。患者家属由衷的表示感谢,特意写了感谢信。


患者家属写的感谢信
蛛网膜下腔出血是一种严重的出血性脑血管疾病,典型临床表现为突发的剧烈头痛,颈痛,伴恶心呕吐,甚至昏迷。颅内动脉瘤破裂是导致自发性蛛网膜下腔出血最常见的原因,约占85%。颅内动脉瘤常位于血管分叉处,它并非实体肿瘤,而是脑动脉壁薄弱处的异常凸起,类似于自行车内胎磨损后的“鼓包”,一旦破裂,后果不堪设想,被称为“颅内的不定时炸弹”。动脉瘤首次破裂出血死亡率可达30%,二次破裂出血是蛛网膜下腔出血患者面临的最危险并发症,致死率和致残率极高,尤其是对于Hunt-Hess分级高的高龄患者,极易合并脑血管痉挛、脑梗死、心肺功能衰竭而死亡。


手术前后对比,动脉瘤致密栓塞,载瘤动脉通畅
颅内动脉瘤的治疗方法主要有开颅夹闭术和血管内介入治疗,血管内介入治疗具有微创不开刀,术后反应轻,恢复快的优点。尤其适合于高龄、基础疾病多的患者。此例高龄患者采取了单纯弹簧圈栓塞术+腰大池置管引流术,使患者脱离了生命危险,赢得了家属的信任和感谢。此例是医院神经外科脑血管病介入团队手术治疗的最年长动脉瘤患者,另有一例84岁动脉瘤患者也在积极康复中。神经外科在治疗高龄急性出血性脑血管病方面已积累了丰富的经验,当竭诚为周边居民服务。
原文链接:https://wjw.beijing.gov.cn/xwzx_20031/jcdt/202407/t20240715_3750444.html
[免责声明] 本文来源于网络转载,仅供学习交流使用,不构成商业目的。版权归原作者所有,如涉及作品内容、版权和其它问题,请在30日内与本网联系,我们将在第一时间处理。
